Así funciona la prueba científica para determinar si los migrantes son mayores o menores de edad

MIGRACIÓN

Este tipo de pruebas, conocidas como estudios médico-legales, se emplean en casos donde no existe documentación que acredite la edad de los individuos, lo que ocurre con frecuencia entre personas que llegan a España en situación de vulnerabilidad

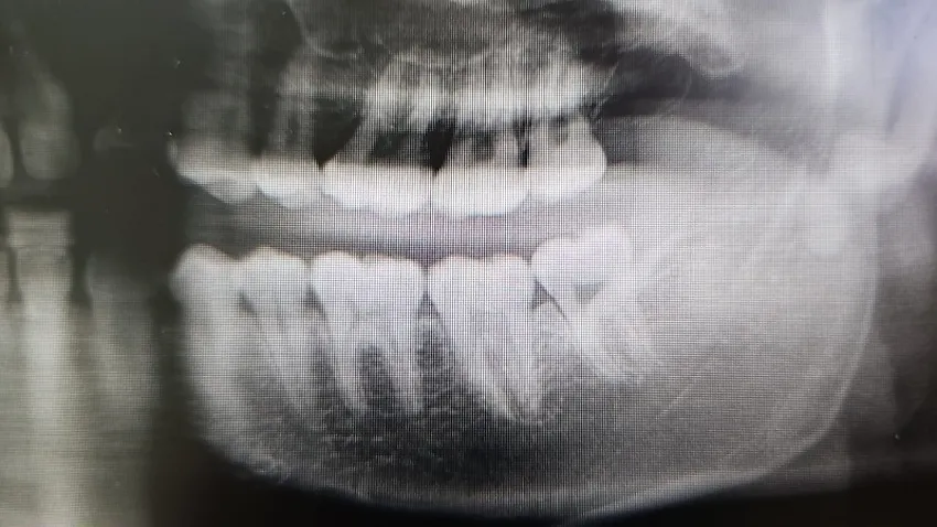
Foto mandíbula de un mayor de edad / CEDIDA
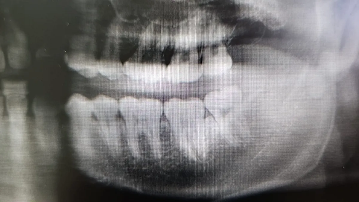
Foto mandíbula de un mayor de edad / CEDIDA

El director del Instituto de Medicina Legal y Ciencias Forenses en Ceuta, Borja Moreno, ha detallado el procedimiento científico utilizado para determinar si una persona es mayor o menor de edad mediante el análisis de radiografías. Este método se ha convertido en una herramienta clave en la identificación de la edad de personas migrantes que han llegado a territorio español de forma irregular y cuya edad es desconocida.

Durante su explicación, Moreno presentó comparaciones visuales entre las radiografías de la muñeca de una persona mayor de edad y la de un menor de 18 años, destacando las claras diferencias que se observan entre ambas. "Aquí tenéis el cúbito y el radio, y las líneas que no se ven de fusión de las epífisis con las metáfisis", explicó Moreno al mostrar una radiografía de un adulto, señalando cómo los huesos ya se encuentran completamente fusionados en las personas mayores de edad.

En contraste, al observar la radiografía de un menor de edad, el forense explicó que estas líneas aún son visibles, lo que indica que el crecimiento óseo no ha finalizado.

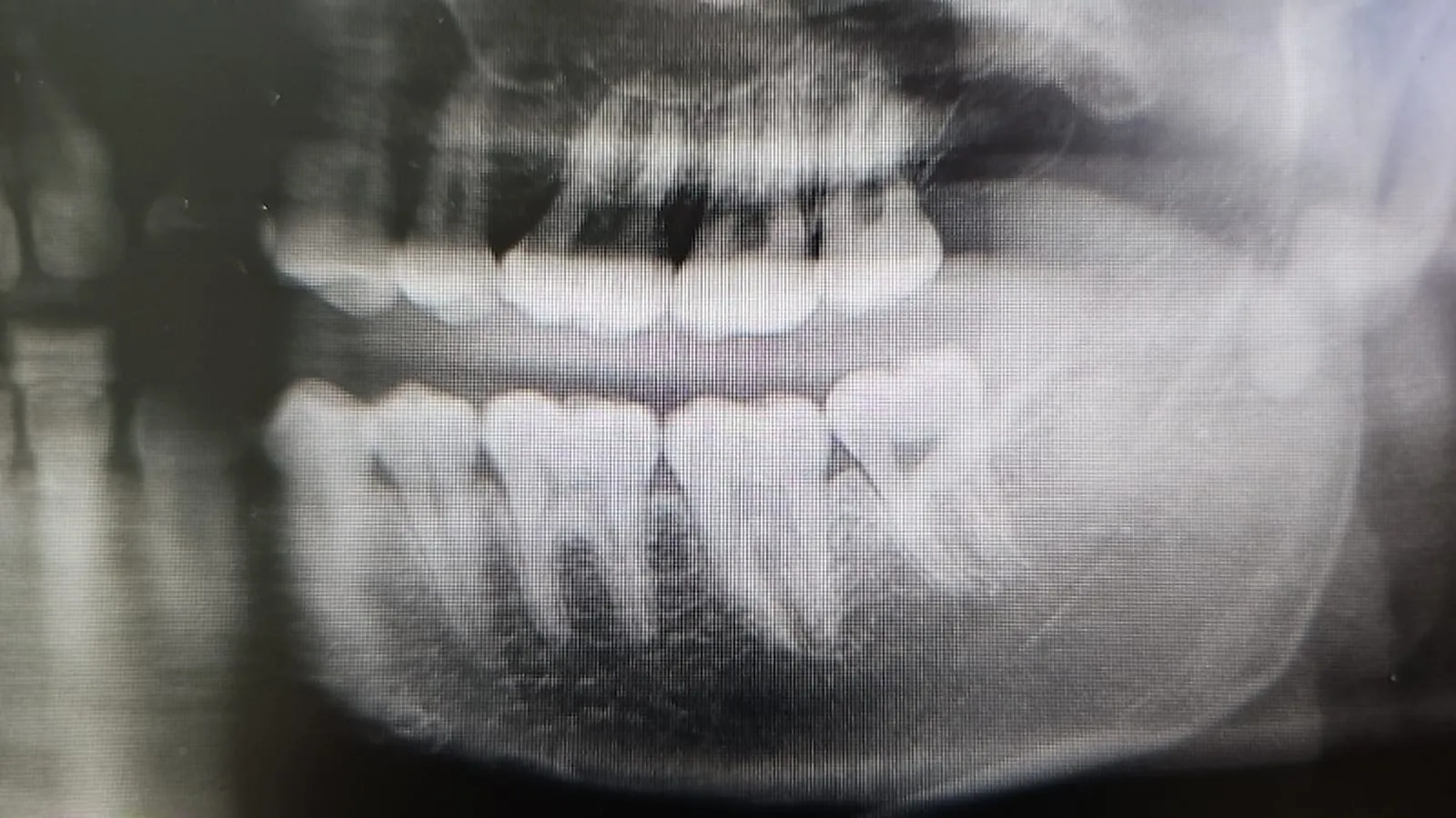
Otro elemento importante en la determinación de la edad es el estudio de la dentadura. Según explicó Moreno, las muelas, especialmente las muelas del juicio, pueden aportar información valiosa en estos análisis. En menores, las muelas presentan un desarrollo que no se observa en personas adultas.

Este tipo de pruebas, conocidas como estudios médico-legales, se emplean en casos donde no existe documentación que acredite la edad de los individuos, lo que ocurre con frecuencia entre personas que llegan a España en situación de vulnerabilidad.

Sigue el canal de El Pueblo de Ceuta en WhatsApp. Pincha aquí, dale a SEGUIR y encontrarás toda la actualidad informativa de la jornada ceutí

También te puede interesar

Lo último

stats